Szatmárnémeti

Új korszak a prosztatarák diagnosztikájában Szatmáron

Célzottabb prosztatadiagnosztika modern MRI-fúzióval a Szatmár Megyei Sürgősségi Kórházban
2025.11.19 - 13:40
A Szatmár Megyei Sürgősségi Kórház megkezdte az MRI-fúziós prosztatabiopsziák végzését, amely a legmodernebb, legpontosabb módszer a prosztatarák korai és célzott diagnosztikájában.

A prosztatarák a férfiak körében a leggyakoribb rosszindulatú daganat, ezért jelentős előrelépés, hogy a Szatmár Megyei Sürgősségi Kórház bevezette és kiterjesztette az MRI-fúziós prosztatabiopsziák alkalmazását. Ez a technika napjaink egyik legkorszerűbb és legpontosabb vizsgálati módszere prosztatarák-gyanú esetén.

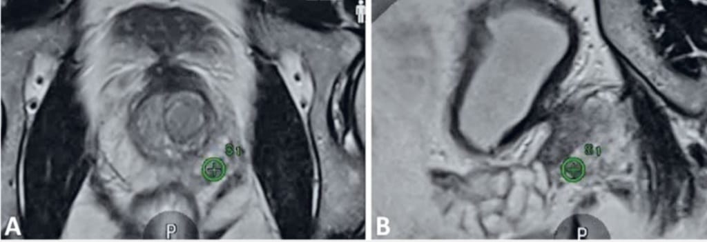
A szatmári kórház közlése szerint, az MRI-fúziós eljárás a multiparaméteres MRI (mpMRI) felvételeit ötvözi a transzrektális ultrahangvezetéssel. Ennek köszönhetően az orvos a prosztata már előzetesen azonosított, gyanús területeiből tud szövetmintát venni, jelentősen növelve a diagnózis pontosságát a hagyományos, „vakon” végzett biopsziákhoz képest.

A beavatkozást a Szatmár Megyei Sürgősségi Kórházban végzik Fujifilm Arietta 880 típusú ultrahanggéppel, intravénás általános anesztézia mellett, egynapos sebészeti ellátás keretében. A felépülés gyors, a beteg beutalóját a háziorvos állítja ki, az urológiai szakrendelésen történt előzetes konzultáció után.

Az eljárás alapja, hogy az MRI-felvételeket valós idejű ultrahangképekre vetítik rá. A speciális szoftver a két adatbázist egyesíti, és részletes, háromdimenziós térképet hoz létre a prosztatáról. Ez lehetővé teszi a magas kockázatú, MRI által PIRADS-gyanúsként jelölt elváltozások célzott mintavételét. 

korhaz-prosztatarak-2.jpg

A pontos lokalizáció kulcsfontosságú a személyre szabott terápiás terv kialakításában – legyen szó aktív megfigyelésről, célzott kezelésről vagy radikális beavatkozásról. A módszer ideális egyensúlyt teremt pontosság, biztonság és betegkomfort között, és megerősíti a korszerű képalkotás szerepét a prosztatarák korai felismerésében.

A Fujifilm Arietta 880 ultrahanggép használata további urológiai beavatkozásokra is lehetőséget nyújt: vesebiopsziákra, perkután nefrosztómák beültetésére húgyúti szepszis vagy elzáródás esetén, valamint tályogok és különböző gyűrtemények drenálására, legyenek azok peri- vagy pararenális, illetve prosztata- vagy ondóhólyag-eredetűek.

A kórház kiemelten köszönetet mond a Kolozsvári Amecro Onkológusok Egyesületének, amely támogatásával hozzájárult a biplán endorektális szonda beszerzéséhez – ez az eszköz elengedhetetlen az MRI-fúziós prosztatabiopsziák szakszerű elvégzéséhez.

Hírszerkesztő

Ajánljuk még a témában:

Szatmárnémeti

Túlzsúfolt volt múlt hétvégén is a sürgősségi osztály

Félezer személy került a Szatmár Megyei Sürgősségi Kórház sürgősségi osztályára hétvégén. Volt olyan, aki a túlzsúfolt sürgősségin 3 órát várakozott, ám az ügyeleten 5 perc alatt ellátták.
Szatmár megye

A bejgli többet ártott, mint a petárda Szatmár megyében

Petárdázásból származó sérülés nem történt, viszont sokan fordultak emésztési panaszokkal a sürgősséghez karácsonykor Szatmár megyében.
Szatmár megye

Kilenc gyermek született karácsonykor a Szatmár Megyei Sürgősségi Kórházban

Különleges ajándékkal gazdagodtak idén karácsonykor a Szatmár megyei családok: a Szatmár Megyei Sürgősségi Kórházban összesen kilenc gyermek jött világra az ünnep idején.